Let’s be honest: the idea of dental surgery can send shivers down anyone’s spine. When you hear “dental implant,” your mind might immediately jump to drills, scalpels, and a whole lot of discomfort. I completely understand that fear. Many of my patients come to me with one primary concern: “How painful is a dental implant, really?” It’s a valid question, and one I’m here to answer thoroughly, drawing on years of experience and the latest advancements in dental care in 2025.
The truth is, while the thought of a dental implant procedure might seem daunting, the actual experience is often far less painful than people imagine. Modern dentistry has come a long way, focusing heavily on patient comfort and effective pain management. My goal today is to walk you through every step, tell you what to genuinely expect, and equip you with the knowledge to approach your dental implant journey with confidence, not fear.
Read more:-Unlocking the Smile: How Much Does a Dental Implant Molar Cost in 2025?
Dental Implant Pain–
Key Takeaways
- Pain is Manageable: During the dental implant procedure, you won’t feel pain thanks to local anesthesia and sedation options. Post-procedure discomfort is typically mild to moderate and effectively controlled with medication.
- Preparation is Key: Choosing an experienced dental surgeon and thoroughly discussing your pain management options beforehand significantly reduces anxiety and ensures a smoother experience.
- Recovery Varies: While most people compare the discomfort to a tooth extraction, individual experiences vary based on factors like the complexity of the surgery, your pain tolerance, and how well you follow post-operative care instructions.
- Long-Term Benefits Outweigh Short-Term Discomfort: The minor, temporary discomfort of the implant procedure pales in comparison to the lasting benefits of a fully restored smile, improved chewing function, and enhanced quality of life.
- Follow Post-Op Instructions Diligently: Adhering to your dentist’s aftercare instructions regarding medication, diet, and oral hygiene is crucial for minimizing pain, preventing complications, and ensuring successful healing.
Understanding Dental Implants: A Quick Overview
Before we dive into the pain aspect, let’s briefly touch upon what a dental implant actually is. Imagine a natural tooth: it has a root that anchors it to your jawbone and a crown that’s visible above the gum line. A dental implant is designed to mimic this structure perfectly.
A dental implant typically consists of three main parts:
- The Implant Post (Fixture): This is a small, screw-shaped post, usually made of titanium. It’s surgically placed into your jawbone, acting as the new “root” for your missing tooth. Titanium is biocompatible, meaning your body accepts it readily, allowing it to fuse with the bone in a process called osseointegration.
- The Abutment: Once the implant post has integrated with the bone, a small connector piece called an abutment is attached to it. This piece extends above the gum line and serves as the base for your new crown.
- The Crown (Prosthesis): This is the visible part of your new tooth, custom-made to match the color, shape, and size of your natural teeth. It’s securely cemented or screwed onto the abutment, completing your smile.
Why are dental implants such a popular and highly recommended solution in 2025?
They offer numerous advantages over other tooth replacement options:
- Natural Look and Feel: They are virtually indistinguishable from your natural teeth.
- Improved Chewing Function: You can eat your favorite foods without worry. ð
- Durability and Longevity: With proper care, implants can last a lifetime.
- Preservation of Jawbone: They stimulate the jawbone, preventing bone loss that often occurs with missing teeth.
- No Impact on Adjacent Teeth: Unlike bridges, implants don’t require altering neighboring healthy teeth.
- Enhanced Speech: Missing teeth can affect speech; implants restore clarity.

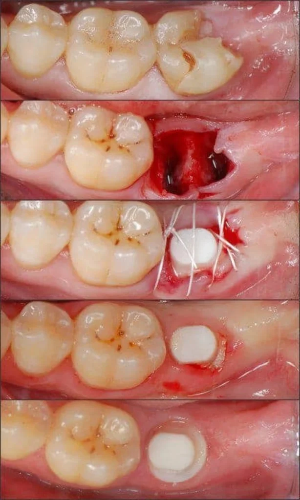
The Dental Implant Procedure: Step-by-Step and What to Expect Pain-Wise
Understanding the journey of getting a dental implant is crucial for managing expectations about pain. It’s not a single procedure but rather a process that unfolds over several months.
1. Initial Consultation and Planning ðĩïļââïļ
This is where it all begins. I’ll conduct a thorough examination of your mouth, take X-rays, and often 3D CT scans. This allows me to assess your bone density, identify vital structures (like nerves and sinuses), and create a precise, personalized treatment plan. We’ll discuss your medical history, any anxieties you have, and your pain management preferences. This step is completely painless, but it’s vital for a successful and comfortable procedure.
2. Tooth Extraction (If Necessary) ðĶ·
If you still have the damaged tooth that needs replacing, it will need to be extracted first. This is a common procedure, and you won’t feel pain during the extraction thanks to local anesthesia. Afterward, you might experience some soreness, swelling, and mild discomfort, similar to what you’d expect from any tooth extraction. This initial healing period usually lasts a few days to a week. Sometimes, an implant can be placed immediately after an extraction, but often, the extraction site needs to heal first.
3. Bone Grafting (If Necessary) ðĶī
For an implant to be successful, you need sufficient healthy jawbone to support it. If your bone density is inadequate (perhaps due to long-term tooth loss), a bone graft might be necessary. This procedure involves adding bone material (from your own body, a donor, or synthetic sources) to the area where the implant will be placed.
- Pain during bone grafting: Similar to an extraction, local anesthesia ensures you feel no pain during the procedure.
- Pain after bone grafting: You can expect some discomfort, swelling, and bruising for a few days to a week. Pain medication will be prescribed or recommended. The recovery time for bone grafting can be several months, as the new bone needs time to integrate. This step can add to the overall healing time and potential for discomfort compared to a straightforward implant placement.
4. Implant Placement Surgery ð ïļ
This is the core surgical step. Here’s what happens and what you’ll feel:
- Anesthesia: Before anything begins, I’ll administer local anesthesia to completely numb the area. This means you will not feel any sharp pain. Many patients also opt for sedation (oral, IV, or nitrous oxide) to help them relax and feel more comfortable, often drifting into a light sleep or a very relaxed state.
- The Procedure: Once you’re completely numb and comfortable, I’ll make a small incision in your gum to expose the jawbone. A special drill is then used to create a precise space in the bone where the titanium implant post will be placed. The implant is carefully screwed into this prepared site. Finally, the gum tissue is sutured (stitched) closed over the implant, or sometimes a healing cap is placed.
- What you will feel: You will feel pressure and vibrations during the drilling, but no pain. If you feel any sensation that concerns you, you simply raise your hand, and more anesthetic can be administered. Many patients describe the sound and vibration as the most noticeable aspect, not pain.
“The actual implant placement surgery is surprisingly comfortable. With local anesthesia, you feel pressure, not pain. Most of my patients are amazed at how manageable it truly is.”
5. Osseointegration (Healing Period) âģ
After the implant is placed, a crucial healing period begins. This is when the titanium implant fuses with your jawbone, a process called osseointegration. This typically takes 3 to 6 months.
- Pain during osseointegration: Generally, you shouldn’t experience significant pain during this phase. You might feel some mild sensitivity or tenderness in the area, but it’s usually not enough to require strong pain medication. The focus here is on quiet healing.
6. Abutment Placement (If Not Already Placed)
In some cases, the implant is left completely covered by gum tissue during osseointegration. Once healed, a minor surgical procedure is needed to expose the implant and attach the abutment. This involves a small incision in the gum, which is then closed around the abutment.
- Pain during abutment placement: This is a much simpler procedure than the initial implant placement. Local anesthesia is used, so you won’t feel pain during the process.
- Pain after abutment placement: You might experience some mild soreness and tenderness for a day or two, easily managed with over-the-counter pain relievers.
7. Crown Attachment ð
Once the abutment is in place and your gums have healed around it, impressions are taken to create your custom crown. This crown is then attached to the abutment, completing your new tooth.
- Pain during crown attachment: This step is completely painless! It involves simply fitting and cementing or screwing the crown into place. You’ll feel pressure as I check the fit, but no discomfort.
“How Painful Is a Dental Implant?” â Addressing the Core Question Directly
Now that we’ve walked through the entire process, let’s zero in on the pain aspect.
During the Procedure: Virtually Pain-Free
As I mentioned, thanks to modern local anesthetics and sedation options, you should experience no pain during the actual implant placement surgery. My priority is your comfort. We’ll ensure the area is completely numb before beginning, and if you opt for sedation, you’ll be in a relaxed, often drowsy state, barely aware of what’s happening. You might feel pressure, vibration, or hear sounds, but sharp pain should not be part of your experience.
Immediately After Surgery (First 24-72 Hours): Manageable Discomfort
This is typically when you’ll feel the most discomfort, but it’s generally described as mild to moderate, not excruciating. It’s often compared to the discomfort experienced after a tooth extraction.
What you can expect:
- Soreness and Tenderness: The surgical site will feel tender as the anesthesia wears off.
- Throbbing Sensation: Some throbbing is common, especially if you’ve had a more involved procedure.
- Swelling: Swelling around the implant site, face, or jaw is very common and usually peaks within 24-48 hours. ðĨķ
- Bruising: You might notice some bruising on your skin, which will fade over a few days.
- Minor Bleeding: Some oozing or light bleeding is normal for the first day.
Pain Management:
I will provide detailed instructions on how to manage this discomfort. This usually includes:
- Over-the-counter (OTC) pain relievers: Ibuprofen (Advil, Motrin) or acetaminophen (Tylenol) are often sufficient.
- Prescription pain medication: For more complex procedures, I might prescribe a stronger pain reliever for the first few days.
- Ice packs: Applying ice packs to the outside of your face can significantly reduce swelling and numb the area.
First Week Post-Surgery: Gradual Improvement
By the end of the first week, most of the acute discomfort, swelling, and bruising should start to subside. You’ll likely still feel some tenderness, and you’ll need to continue with a soft diet.
- Pain: The need for pain medication typically decreases significantly. You might only need OTC pain relievers occasionally.
- Diet: Sticking to soft foods (soups, yogurt, mashed potatoes, smoothies) is crucial to avoid disturbing the healing site. ðĨĢ
- Oral Hygiene: Gentle rinsing with salt water or a prescribed mouthwash will be recommended, while avoiding direct brushing of the surgical site initially.
Long-Term Healing (Osseointegration): Generally Pain-Free
Once the initial recovery phase passes, the osseointegration process begins. During these months, the implant is fusing with your bone.
- Pain: This phase is generally pain-free. You shouldn’t feel any significant discomfort. If you experience persistent or increasing pain during this period, it’s important to contact my office immediately, as it could be a sign of a complication (though this is rare).
Factors Influencing Dental Implant Pain and Discomfort
While the general experience is manageable, several factors can influence the level of discomfort you might feel.
1. Individual Pain Tolerance
Everyone is different. What one person considers mild discomfort, another might find more bothersome. Your personal threshold for pain plays a role.
2. Complexity of the Procedure
- Number of Implants: Placing multiple implants generally leads to more widespread discomfort than a single implant.
- Need for Additional Procedures: If you require bone grafting, a sinus lift, or extensive extractions before implant placement, your overall recovery time and discomfort level will likely be higher.
- Location of the Implant: Implants in the front of the mouth tend to be less uncomfortable than those in the back, where the bone can be denser and the area harder to access.
3. Skill and Experience of the Surgeon
An experienced and skilled dental implant surgeon will perform the procedure more efficiently, minimize trauma to tissues, and provide precise implant placement. This can lead to a smoother recovery and less post-operative pain. Don’t hesitate to ask about your dentist’s experience with implants.
4. Anesthesia and Sedation Options
The type and amount of anesthesia used can significantly impact your comfort during the procedure. Discussing all available options â from local anesthetic alone to various levels of sedation â with your dentist is important.
5. Adherence to Post-Operative Care Instructions
This is perhaps one of the most critical factors. Diligently following all my post-operative instructions for medication, diet, oral hygiene, and activity levels is paramount to minimizing pain, preventing complications, and ensuring proper healing. Ignoring these instructions can lead to increased pain and potential issues.
6. Overall Health and Lifestyle
Your general health can affect your body’s ability to heal. Conditions like diabetes or autoimmune diseases can impact healing time. Smoking, in particular, is detrimental to healing and can significantly increase the risk of complications and discomfort. ð
Managing Pain and Discomfort: My Best Advice for 2025
My top priority is to make your dental implant journey as comfortable and pain-free as possible. Here’s my comprehensive advice:
Before the Procedure: Preparation is Power!
- Choose an Experienced Dentist/Surgeon: Research and select a dental professional with extensive experience in dental implantology. Their expertise makes a huge difference.
- Discuss Pain Management Thoroughly: During your consultation, openly discuss your concerns about pain and anxiety. Ask about all available anesthesia and sedation options, and together we can create a plan that’s right for you.
- Understand the Process: The more you know about what to expect, the less anxious you’ll be. Ask questions!
- Arrange for Transport: If you opt for sedation, you’ll need someone to drive you home after the procedure.
- Plan Your Recovery: Stock your fridge with soft foods, arrange for time off work or responsibilities, and set up a comfortable recovery space at home.
During the Procedure: Communicate!
- Don’t Be Afraid to Speak Up: If you feel any discomfort or anxiety during the procedure, simply raise your hand. I can administer more anesthetic or adjust the sedation to ensure you remain comfortable. Your comfort is my guide.
After the Procedure: Diligence is Your Best Friend!
This is where you play the biggest role in managing your pain.
- Take Medication as Directed:
- Prescription Pain Relievers: If prescribed, take them exactly as instructed, typically before the local anesthesia completely wears off. Don’t wait for the pain to become severe.
- Over-the-Counter (OTC) Pain Relievers: For mild discomfort, ibuprofen or acetaminophen are excellent choices.
- Antibiotics: If prescribed, finish the entire course to prevent infection, which can lead to increased pain.
- Apply Ice Packs: For the first 24-48 hours, apply ice packs to the outside of your face, over the surgical area, for 20 minutes on, 20 minutes off. This significantly reduces swelling and helps numb the area. ð§
- Stick to a Soft Diet: For the first few days, and sometimes longer, eat only soft, cool foods. Avoid anything hot, spicy, crunchy, or chewy that could irritate the surgical site. Think smoothies, yogurt, mashed potatoes, soups, scrambled eggs. ðĶ
- Avoid Strenuous Activity: For at least 24-48 hours, avoid heavy lifting, intense exercise, or anything that increases blood pressure, as this can lead to increased bleeding and throbbing pain. Rest is key! ðī
- Maintain Gentle Oral Hygiene:
- Avoid Brushing the Surgical Site: For the first day, avoid direct brushing of the implant area.
- Gentle Rinsing: After 24 hours, gently rinse your mouth with warm salt water (1/2 teaspoon salt in 8 ounces warm water) several times a day, especially after meals. Do NOT swish vigorously; just let it gently wash over the area.
- Prescribed Mouthwash: If I prescribe an antiseptic mouthwash, use it as directed.
- Avoid Smoking and Alcohol: Both smoking and alcohol can severely impede healing, increase the risk of infection, and lead to more pain. It’s crucial to avoid them during your recovery. ðŦðŽ
- Get Plenty of Rest: Allow your body to heal. Rest is a powerful tool in recovery.
- Elevate Your Head: When lying down, use extra pillows to keep your head elevated. This can help reduce swelling.
- Know When to Call Me: While some discomfort is normal, contact my office immediately if you experience:
- Severe, uncontrolled pain that doesn’t respond to medication.
- Excessive bleeding that doesn’t stop.
- High fever or chills.
- Pus or unusual discharge from the surgical site.
- Numbness that persists beyond the expected duration of anesthesia.
“Your active participation in post-operative care is just as important as the surgery itself. Follow my instructions, and you’ll set yourself up for the smoothest, most comfortable recovery possible.”
The Payoff: Why Dental Implants Are Worth It
After hearing about the procedure and recovery, you might still wonder, “Is the temporary discomfort really worth it?” From my perspective, and the countless happy smiles I’ve seen, the answer is a resounding YES!
The short-term discomfort, which is often less than expected and easily managed, pales in comparison to the long-term benefits you gain:
- A Beautiful, Confident Smile: Imagine smiling, laughing, and speaking without self-consciousness. Dental implants look and feel like your natural teeth, restoring your confidence. ð
- Unrestricted Eating: Enjoy all your favorite foods again! Implants restore your chewing power, allowing you to eat apples, corn on the cob, and steak without worry. ð
- Improved Oral Health: Implants prevent bone loss in your jaw, which can occur when teeth are missing. This helps maintain your facial structure and prevents your remaining teeth from shifting.
- Durability and Longevity: With proper care, dental implants can last for decades, even a lifetime. They are a long-term investment in your oral health and overall well-being.
- No More Denture Worries: Say goodbye to loose dentures, messy adhesives, and the hassle of removing your teeth at night. Implants are a fixed, permanent solution.
- Enhanced Quality of Life: Ultimately, dental implants improve your overall quality of life. You’ll feel better, eat better, and have the confidence to fully engage with the world around you.
My Experience and Final Thoughts
In my practice, I’ve seen firsthand the transformation dental implants can bring. Patients often come in nervous, but leave relieved and excited about their new smiles. The common thread among them is that the experience was far less painful than they anticipated.
In 2025, dental technology and techniques are more advanced than ever, making the implant procedure safer, more predictable, and significantly more comfortable. While some discomfort is a natural part of any surgical healing process, it is temporary, manageable, and a small price to pay for the incredible benefits that dental implants offer.
If you’re considering dental implants, please don’t let fear of pain hold you back. Schedule a consultation with an experienced dental implant professional. We can discuss your specific needs, address all your concerns, and create a personalized treatment plan that prioritizes your comfort every step of the way. Your journey to a healthier, more confident smile is within reach!
